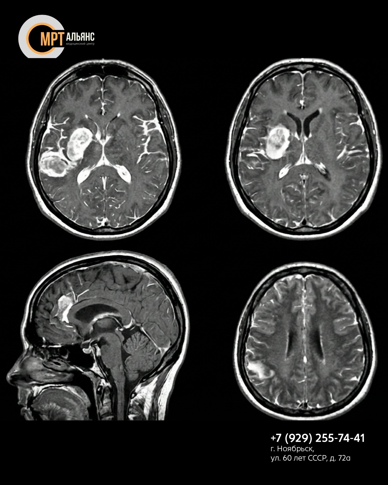
Это позволяет выявить:
— Очаги патологической неоваскуляризации (опухоли, метастазы)
— Активные воспалительные изменения (демиелинизирующие бляшки при рассеянном склерозе)
— Нарушения гематоэнцефалического барьера
— Микроаневризмы и сосудистые мальформации
Подготовка к исследованию с контрастом:
- За 12 часов до процедуры — лёгкий ужин. Утром — натощак, воду пить разрешено
- При приёме антикоагулянтов или метформина — согласуйте тактику с лечащим врачом за 48 часов
- Обязательно сообщите о реакциях на контрастные препараты в анамнезе.
- Одежда без металлических элементов; все украшения и аксессуары снимаются
Возьмите паспорт, направление, результаты предыдущих исследований (МРТ, лабораторные анализы)
Важно: Контрастирование противопоказано при СКФ < 30 мл/мин/1,73м² (риск нефрогенного системного фиброза), в первом триместре беременности и при подтверждённой анафилаксии на гадолиний. Перед введением контраста врач оценивает соотношение «риск/польза» и при необходимости назначает премедикацию!
Не откладывайте точную диагностику!
Работаем без перерывов и выходных:
с понедельника по воскресенье
с 09.00 ч. до 20.00 ч.
Запись:
+7 (929) 255-74-41
г. Ноябрьск,
ул. 60 лет СССР, д. 72а
noyabrsk.mrt-alyans.ru
Лицензия № Л041-01145-83/00332649 от 04 июля 2019 года
Услуги являются медицинскими и требуют консультации специалиста
— Очаги патологической неоваскуляризации (опухоли, метастазы)
— Активные воспалительные изменения (демиелинизирующие бляшки при рассеянном склерозе)
— Нарушения гематоэнцефалического барьера
— Микроаневризмы и сосудистые мальформации
Подготовка к исследованию с контрастом:
- За 12 часов до процедуры — лёгкий ужин. Утром — натощак, воду пить разрешено
- При приёме антикоагулянтов или метформина — согласуйте тактику с лечащим врачом за 48 часов
- Обязательно сообщите о реакциях на контрастные препараты в анамнезе.
- Одежда без металлических элементов; все украшения и аксессуары снимаются
Возьмите паспорт, направление, результаты предыдущих исследований (МРТ, лабораторные анализы)
Важно: Контрастирование противопоказано при СКФ < 30 мл/мин/1,73м² (риск нефрогенного системного фиброза), в первом триместре беременности и при подтверждённой анафилаксии на гадолиний. Перед введением контраста врач оценивает соотношение «риск/польза» и при необходимости назначает премедикацию!
Не откладывайте точную диагностику!
Работаем без перерывов и выходных:
с понедельника по воскресенье
с 09.00 ч. до 20.00 ч.
Запись:
+7 (929) 255-74-41
г. Ноябрьск,
ул. 60 лет СССР, д. 72а
noyabrsk.mrt-alyans.ru
Лицензия № Л041-01145-83/00332649 от 04 июля 2019 года
Услуги являются медицинскими и требуют консультации специалиста